Galerie unserer Zahnarztpraxis in Steg VS
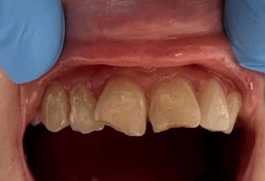
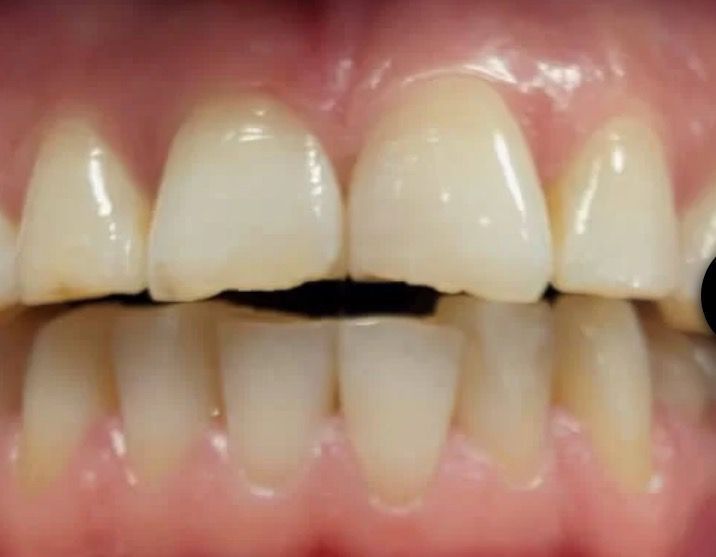
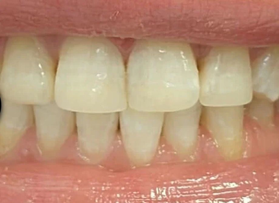
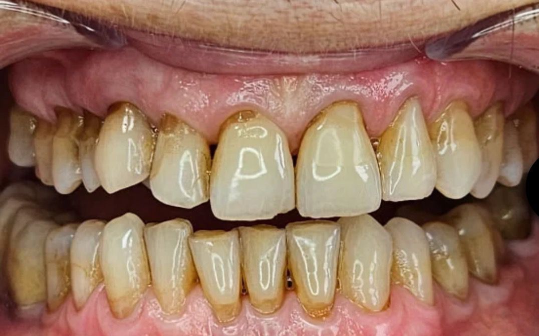
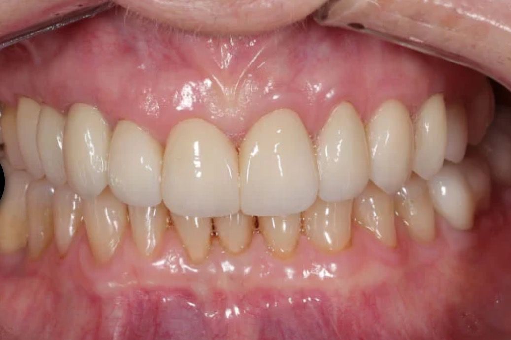
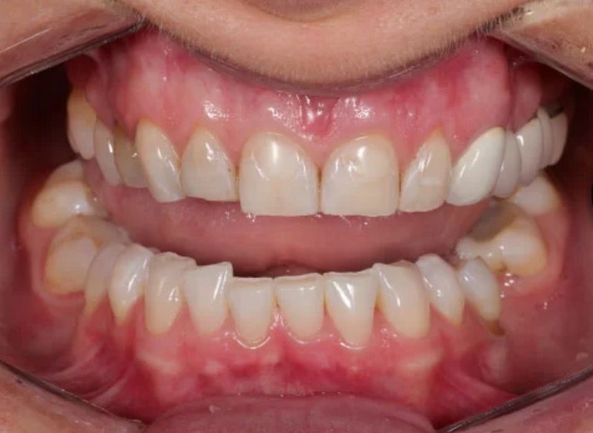
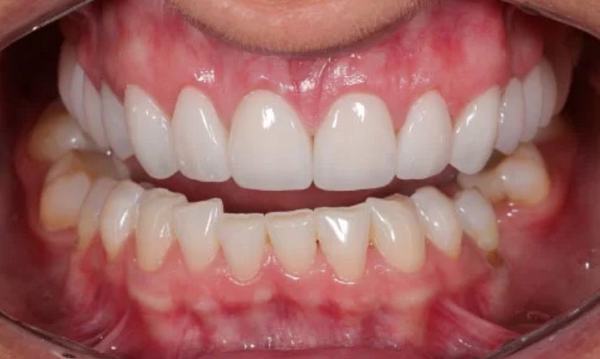
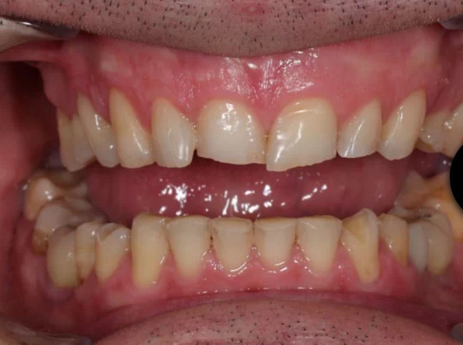
Entdecken Sie unsere Vorher–Nachher Ergebnisse ästhetischer Behandlungen.
Vereinbaren Sie Ihren Termin
Lernen Sie unsere Praxis persönlich kennen und überzeugen Sie sich selbst von unserer Qualität.
Kontaktieren Sie die Zahnarztpraxis Steg in Steg VS im Wallis.












